
¡Hola! Soy la Doctora María Cura, una odontóloga apasionada por crear sonrisas saludables y hermosas. Mi camino en la odontología comenzó en la Universidad Rey Juan Carlos (URJC) de Madrid, donde las Dras. Laura Ceballos y Mª Victoria Fuentes me inspiraron y alentaron para conseguir realizar una odontología de excelencia, basada en la mejor Evidencia Científica. Me especialicé en Odontología Restauradora Estética y Endodoncia porque me apasiona realizar tratamientos basados en una filosofía Mínimamente Invasiva que me permita conservar los dientes y embellecer la sonrisa de mis pacientes.
Realicé mi doctorado sobre blanqueamiento y restauraciones adhesivas en la URJC, con mención internacional, realizando una estancia clínica y de investigación en Fortaleza, Brasil. Compagino mi labor clínica con la docencia, transmitiendo mi experiencia y conocimientos a futuros profesionales en el Máster de Estética de la URJC y otros programas de postgrado. Además, imparto cursos de Odontología Estética a nivel nacional e internacional y he sido reconocida con diversos premios por mi labor clínica e investigadora.
Consciente de que cada paciente es único, complementé mi formación con un Postgrado en Prótesis y Rehabilitación Oral de la Sociedad Catalana de Odontología y Estomatología (SCOE) para poder ofrecer soluciones integrales, incluso cuando la mínima invasión no es viable.
Mi compromiso con la excelencia me impulsa a estar siempre a la vanguardia de los avances en odontología estética y rehabilitadora, participando en congresos y cursos, e investigando nuevas técnicas y materiales.
Si buscas una odontóloga con una pasión genuina por su trabajo, que te brinde una atención personalizada, basada en la evidencia científica y con un enfoque mínimamente invasivo siempre que sea posible, estaré encantada de atenderte. Mi objetivo es ayudarte a conseguir una sonrisa sana, funcional y estética, que te haga sentir seguro y feliz.



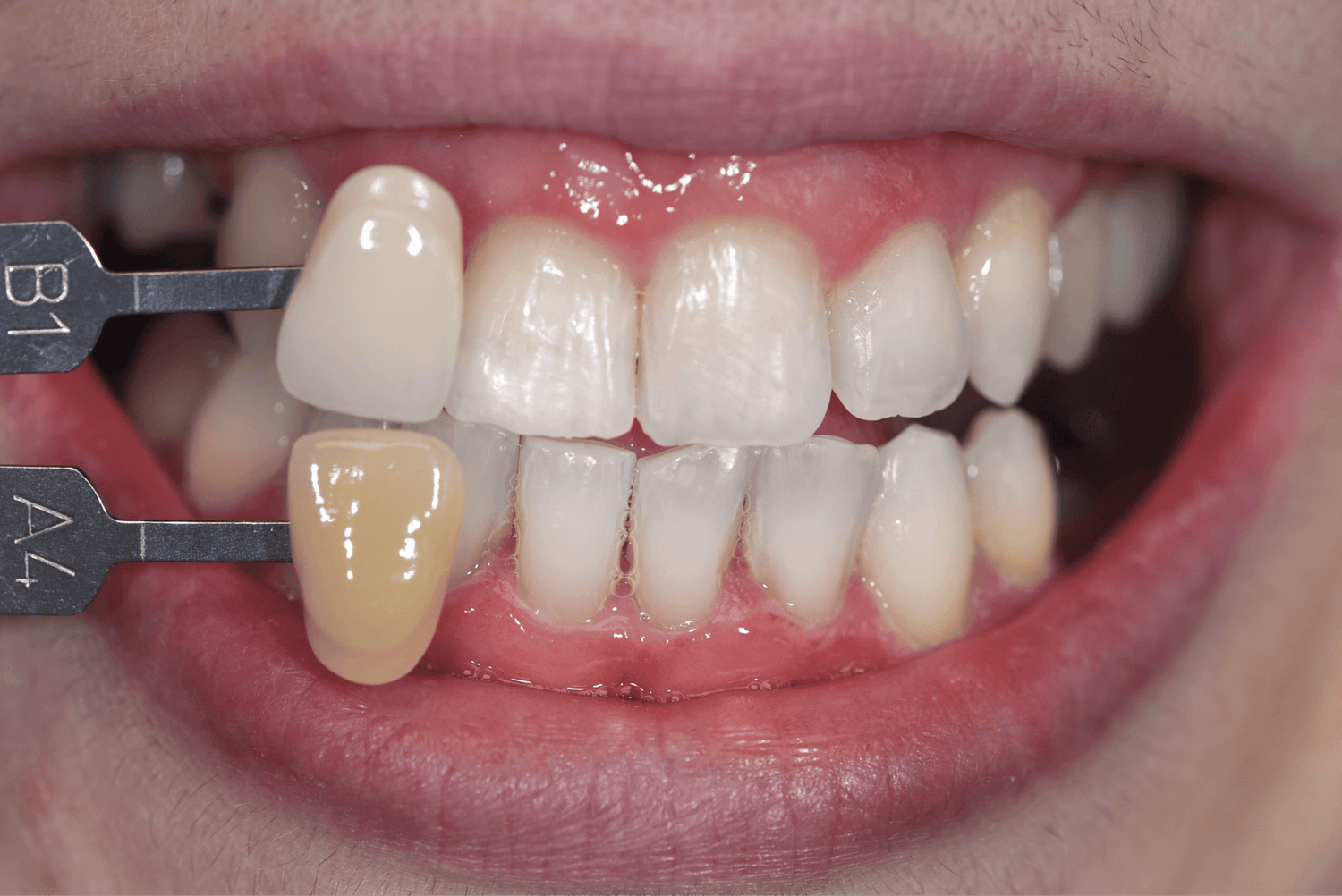
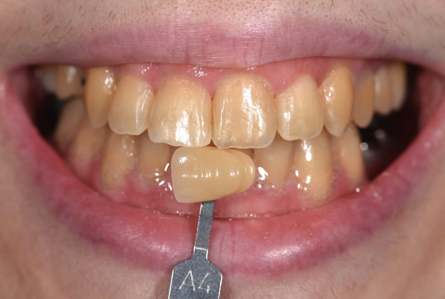
Blanqueamiento

El blanqueamiento dental consiste en una alternativa terapéutica conservadora para el tratamiento de las discromías dentales, ya sean de carácter fisiológico o patológico. Es necesario establecer un correcto diagnóstico de las
discromías ya que el tratamiento dependerá fundamentalmente de su etiología. La técnica domiciliaria es la más empleada y segura. Consiste en la aplicación por parte del paciente del gel blanqueador en una férula individualizada bajo la supervisión de su odontólogo.

Composite

Los composites son materiales resinosos que se aplican en forma de pasta sobre el diente y se van modelando hasta conseguir la forma y el color deseados. Mediante una fuente de luz especial, el material endurece y queda adherido a la superficie del diente.
El composite es mi material de elección en la mayoría de los casos ya que con ellos no necesitamos desgastar el diente, puede repararse y modificarse, por tanto es una técnica totalmente reversible. Los composites, con el tiempo, tienden a cambiar de color, lo que obliga a retocarlos y mantenerlos periódicamente.

Cerámica

Mediante cerámica se pueden confeccionar carillas y coronas. Las cerámicas nunca cambian de color y son más resistentes que los composites, sin embargo no pueden repararse o modificarse y no envejecen al ritmo del diente. Son el material de elección en los casos en que los dientes presenten perdida previa de estructura, en pacientes en que por sus hábitos, no esté indicado el composite y
cuando la demanda estética es máxima.

Blanqueamiento personalizado
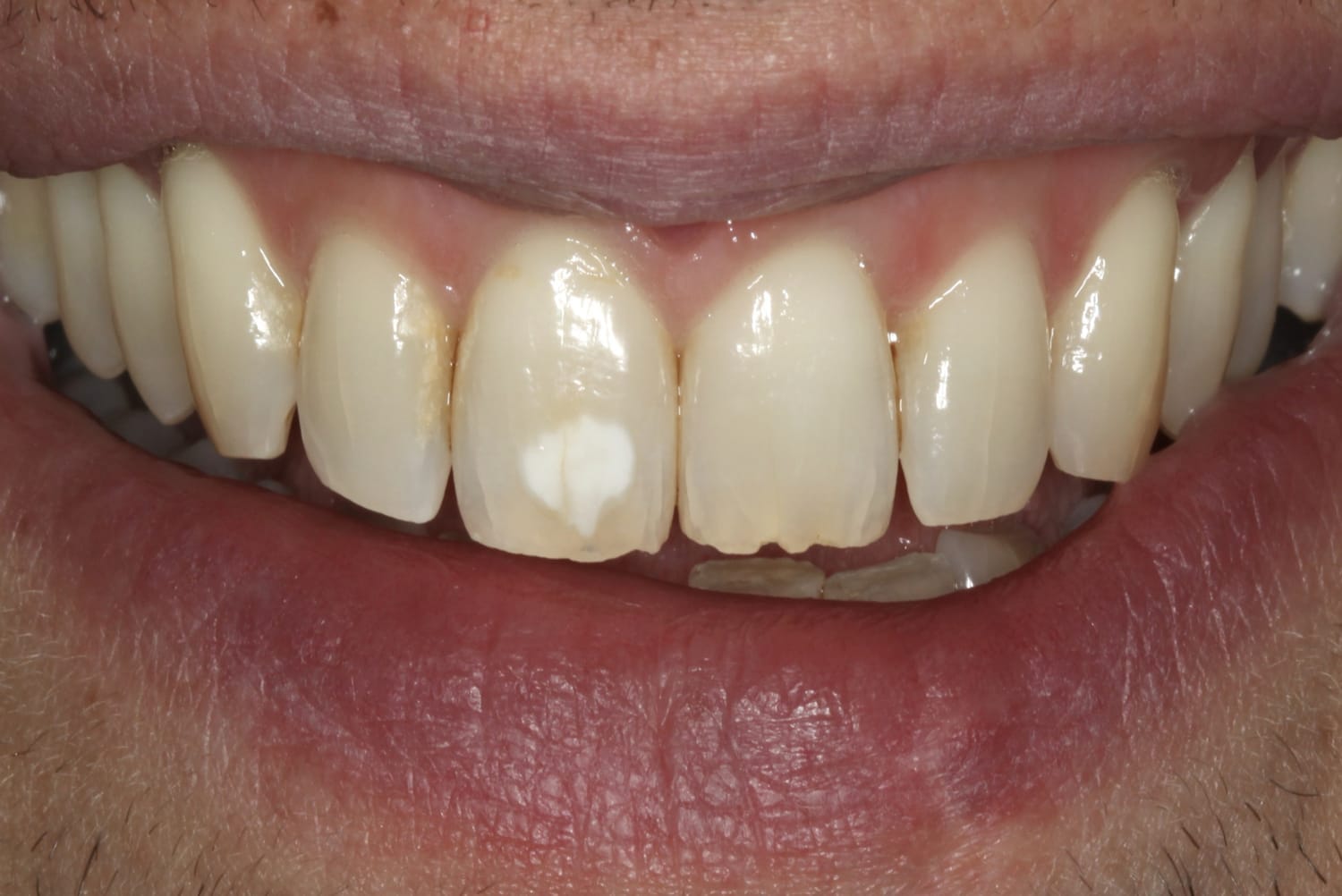
Blanqueamiento Infiltración de Resina ICON para manchas blancas y bordes incisales con composite
Blanqueamiento y Carillas de composite

Email: odontologia@mariacura.com
Completa este breve formulario indicando el tratamiento de tu interés. Recibirás un email con los pasos a seguir para que pueda ofrecerte una primera valoración online lo más precisa posible.